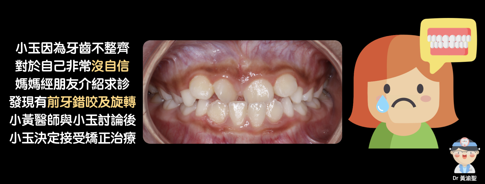
0 評論 0 FacebookTwitterTelegramLINEEmail 小玉小美女(9歲)因為牙齒不整齊 非常沒有自信 煩惱沒有朋友 經過矯正後 她現在煩惱的是 好多人想當她男朋友😅 ~~~~~~~~ 爸爸媽媽對於矯正一定有個疑惑 如果我的孩子有齒列不整的問題 到底小孩子要做早期乳牙矯正 或者等到換完乳牙再來做恆牙矯正 比較乾脆呢 這是個很棒的問題 每個孩子的狀況不一樣 每位醫師的學經歷 經驗不一樣 都會影響醫師治療的想法 其實早期矯正和恆牙齒列矯正 都是對的 早期矯正完成的孩子在換完牙後 可能還是要進行第二次矯正治療 那為何要進行早期矯正呢 因為早期矯正的好處有 導正咬合 改善發音 咀嚼 美觀 恢復孩童信心 降低恆牙矯正難度 您可以想像小朋友就像是樹苗 如果生長在不健康的環境下 樹苗會歪斜 這時候爸爸媽媽醫師就像是園藝師 運用各種方法 來讓小樹苗回復健康 然後再繼續筆直的長大 早期矯正就是修正口腔發育的過程 如果您對於矯正有疑惑 不知道孩子是否需要矯正治療 記得與您的醫師討論歐 我下次再問問小玉選了誰當男朋友 有我一半帥嗎 😆😆😆😆😆 #黃渝聖醫師 #案例分享 #兒童早期矯正 #前牙錯咬 #員林基督教醫院 #兒牙專科 兒童厚斗兒童暴牙兒童牙科專科醫師員林兒童牙科員林兒童矯正員林基督教醫院員林植牙小下巴彰化兒童牙科彰化兒童矯正彰化基督教醫院戽斗案例分享植牙專科醫師牙冠增長術牙齦手術美學牙科 0 評論 0 FacebookTwitterTelegramLINEEmail 上一篇 大海與漱口杯-漱口水與氟鹽的使用方式 下一篇 鼻呼吸訓練法-鼻子的重要性 你可能也會喜歡 兒童早期矯正 前牙錯咬 前牙逆向錯咬 牙齦萎縮 美學乳牙樹脂牙套 兒童全身麻醉下全口重建 恆牙大臼齒的走鐘人生-異位性萌... 全口蛀牙重建-睡覺治療 醒來你... 乳牙小鋼牙 肌功能矯正訓練 牙美跌-跌倒牙齒斷了不美觀怎麼... 兒童早期矯正-暴牙妹變正妹