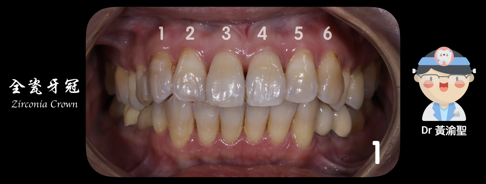
0 評論 0 FacebookTwitterTelegramLINEEmail 這是一個有趣的治療 你猜對了嗎 ~~~~~ 因為齒列不整 不易清潔 美女媽媽右邊犬齒蛀了個大洞 接受根管治療後 討論是否以矯正方法做齒列調整 媽媽也很有趣 她說 孩子都生了 就這樣吧 好吧 您說的也有道理 接下來就換到小黃醫師頭痛了 因為軸向歪斜的假牙並不好修整 還好媽媽是個很棒的患者 我們一起嘗試了調整牙齒的軸向 最後在強力技師後援下 #創藝技工所 完成了假牙設計與黏著 媽媽非常開心 笑著說 花了一顆牙套的錢 就完成了矯正治療🤣 #黃渝聖醫師 #全瓷牙冠 #員林基督教醫院 Zirconia crown二氧化鋯瓷冠美學全瓷牙冠黃渝聖醫師 0 評論 0 FacebookTwitterTelegramLINEEmail 上一篇 美學樹脂牙套Strip Crown 下一篇 兒童氟化物一次報你知 你可能也會喜歡 植牙前矯正治療 讓治療可以被預測-數位美學分析... 前牙美學修復 Turkey Teeth 土耳... 陶瓷嵌體-保留齒質的好方法 成人全口重建 牙冠增長術-一份愛的禮物 讓你的笑容更自然-前牙微笑調整 角化牙齦KG對植牙的重要性 牙齦萎縮-牙肉移植術(軟組織移...