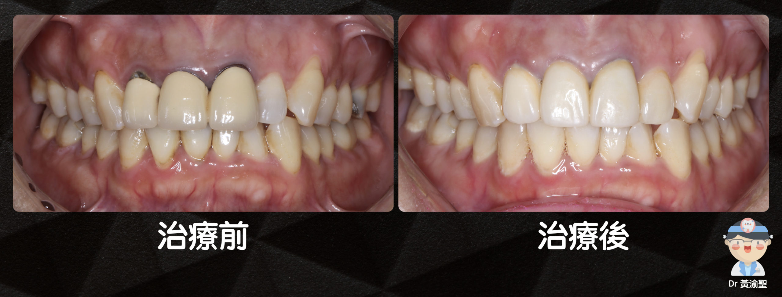
0 評論 0 FacebookTwitterTelegramLINEEmail 小分是位美麗人妻 帶小朋友來給小黃醫師檢查 小分有漂亮的笑容 但可以發現舊牙套下有蛀牙 且舊假牙的型態並不好看 近看會更明顯 其實她比小孩更怕看牙 哈哈 但是我們一起努力 做了蛀牙治療 電腦數位模擬假牙 口內臨時假牙模擬 最後完成了美美的治療 😁😁😁😁😁 ~~~~~~~~~~~~~ 電腦數位模擬digital smile design 最主要的目的 是讓您與醫師與技師在溝通上 有個參考的準則 經過模擬 醫師可以與技師溝通如何製作假牙 也可以把電腦模擬圖片 經過模型轉換後 用暫時的材料放入在您口中 讓您直觀的知道未來完成後大致的樣子 您也可以藉此跟醫師溝通想要的假牙外觀 是否有需要藉由手術來改變牙齒比例 減少未來正式假牙與您的期待不符 在前牙美學區域 是很棒的橋樑 讓醫師與您不用害怕有溝通上的誤會 媽媽現在變很漂亮 我都不敢直視了 我都斜視 😆 圖片經本人同意刊登 感謝 DSD假牙治療全口重建全瓷牙冠前牙微笑調整前牙美學調整員林基督教醫院困難牙科治療彰化基督教醫院成人牙科數位美學分析美學全口重建美學全瓷牙冠陶瓷貼片黃渝聖醫師 0 評論 0 FacebookTwitterTelegramLINEEmail 上一篇 用心改變您的微笑-陶瓷貼片 下一篇 讓你的笑容更自然-前牙微笑調整 你可能也會喜歡 妳值得更好的笑容-美學陶瓷貼片... 角化牙齦KG對植牙的重要性 讓你的笑容更自然-前牙微笑調整 妳其實可以比現在的妳更美-美學... Turkey Teeth 土耳... 前牙美學-每個人都值得擁有更美... 用心改變您的微笑-陶瓷貼片 讓女孩綻放笑容的魔法-陶瓷貼... 前牙美學修復 牙冠增長術-一份愛的禮物