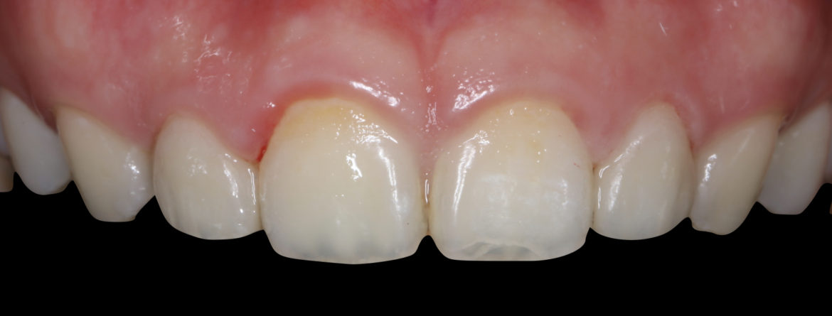
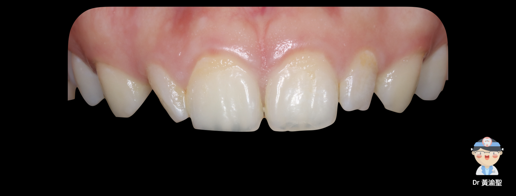
0 評論 0 FacebookTwitterTelegramLINEEmail 小黃醫師完成了左右側門齒陶瓷貼片治療 你猜對了嗎 用陶瓷貼片改善釘狀齒造成的笑容黑洞 這個美麗的女孩 小玉(化名) 因為左右側門牙釘狀齒 覺得笑起來不漂亮來諮詢矯正 經過評估討論後 決定以陶瓷貼片進行修復 妹妹治療完成後 非常開心 祝願她的笑容能讓她的大學生活充滿自信風采 ~~~~~~~~ 在釘狀齒的治療上 如以牙套治療 往往因修磨較多牙齒 容易酸痛敏感 必須再進行根管治療 而以陶瓷貼片修復 可以保留相當多的齒質 而且經由仔細的比色 可以讓技師燒出美觀跟強度兼具的成品 目前小黃醫師前牙美學修復 都會進行DSD 數位微笑設計 用暫時的材料在您口內模擬治療後模樣 讓您可以非常直觀的知道未來完成的樣子 全瓷修復成人案例分享數位美學分析美學修復陶瓷貼片黃渝聖醫師 0 評論 0 FacebookTwitterTelegramLINEEmail 上一篇 認識口呼吸-改變孩子一生的壞習慣 下一篇 兒童口腔衛教 刷牙技巧與牙膏選購 你可能也會喜歡 妳值得更好的笑容-美學陶瓷貼片... 讓你的笑容更自然-前牙微笑調整 陶瓷嵌體-保留齒質的好方法 植牙前矯正治療 前牙美學修復 前牙美學-每個人都值得擁有更美... 角化牙齦KG對植牙的重要性 用心改變您的微笑-陶瓷貼片 妳其實可以比現在的妳更美-美學... 牙冠增長術-一份愛的禮物