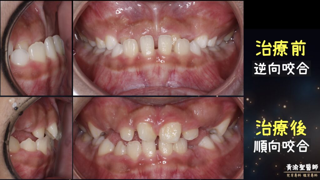
0 評論 0 FacebookTwitterTelegramLINEEmail 案例分享29 地包天-前牙錯咬 早期矯正治療 地包天-前牙逆向咬合 正常咬合為上門牙在外,下門牙在內 今天要介紹的是地包天 不是包青天歐 各位爸爸媽媽不知道有沒有跟小黃醫師一樣被制約了 小黃醫師只要想到包青天 腦中就會浮現胡瓜主唱的 開封有格堡晴天~~~ 鐵面無私辨忠奸~~~~ 前牙地包天的情況 因為笑起來不甚好看 會讓孩子比較不敢笑 很沒有自信 媽媽帶著弟弟來求診 說弟弟厚斗很嚴重 想問問看有沒有機會改變他的錯咬 弟弟也積極想改變非常配合 弟弟前齒錯咬合併深咬確實也不好做 但弟弟願意配合 清潔也做得很不錯 小黃醫師分析後 發現是上顎生長不足 使用上顎擴張合併facemask面弓 並輔以前牙咬合斜坡 達到改善上顎發育不足與嚴重錯咬問題 不到一年的時間 小弟從靦腆笑起來很勉強的孩子 變成了很有自信的小帥哥 弟弟與家人都很開心 小黃醫師看到弟弟的改變 也覺得與有榮焉 至於前牙一點點不整齊 未來換完牙再稍微調整即可 我怕他現在調整 太帥了 媽媽太早當阿嬤 母湯啦 早期矯正不單純是為了美觀 改善功能降低未來治療的複雜度 都有其價值 如果您不確定孩子是否需早期矯正 可以與您信任的專業醫師諮詢討論 ~~~~ 非常感謝媽媽願意分享弟弟治療成果 也謝謝您的觀賞 歡迎把本篇文章分享給您身邊需要幫助的朋友歐 若想參考更多案例 歡迎參考本篇 這是年紀較小的弟弟 早期矯正-前牙錯咬 牙齦萎縮 一樣順利完成治療 簡單前牙錯咬案例 2~4即完成治療 錯咬合併牙齒擁擠案例 歡迎參考 一樣可以美美收尾 #黃渝聖醫師 #案例分享 #人工植牙 #牙冠增長術 #美學陶瓷貼片 #兒童牙科專科醫師 #植牙專科醫師 #家牙專科醫師 #美學牙科 #員林基督教醫院 #彰化基督教醫院 #全口重建 #數位美學分析 #地包天 #錯咬 返回首頁 人工植牙兒童牙科專科醫師全口重建員林基督教醫院地包天彰化基督教醫院數位美學分析案例分享植牙專科醫師牙冠增長術美學牙科美學陶瓷貼片黃渝聖醫師 0 評論 0 FacebookTwitterTelegramLINEEmail 上一篇 3個大重點-大幅增進刷牙效率 下一篇 🦷齒溝封填🦷 不起眼但很重要的好東西 你可能也會喜歡 兒童全身麻醉治療內容 乳牙小鋼牙 超神奇-乳牙樹脂牙套 案例分享 齒溝封填 一口爛牙 新年怎麼過-全口蛀牙... 全口蛀牙重建-睡覺治療 醒來你... 肌功能矯正訓練 兔兔牙變得整整齊齊-暴牙早期矯... 今天不做 明天真的會後悔-前牙... 🦷齒溝封填🦷 不起眼但很重要的...