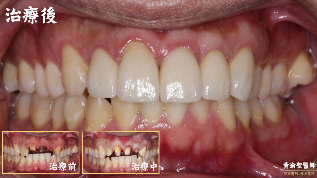
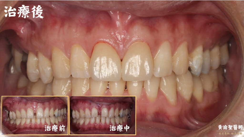
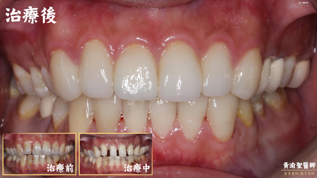
0 評論 0 FacebookTwitterTelegramLINEEmail 最近IG很夯的話題火雞牙什麼是火雞牙參考一下新聞破千英國人到土耳其(Turkey)音同火雞藉由大量修整牙齒套上假牙達到快速改善美觀的方式 從照片可以看到女孩被大量修磨齒質這可能會造成結構過度脆弱牙齒痠痛敏感甚至壞死需根管治療依照新聞所說也確實發生了有女生做完後回國開始出現腫痛化膿的情形 做個牙齒有這麼嚴重也太恐怖了這時大概讓您回想起看牙的恐怖經驗了吧那~小黃醫師你也有做火雞牙嗎?歐我台灣人啦 做的是土雞牙啦小黃醫師在此放上幾種您會考慮做前牙美學修復的原因 前牙有很明顯的露財縫用矯正可能無法達到很好地閉攏效果或者不想要等待矯正非常長的時間可以考慮使用美學貼片來達到好的效果這是男生歐關閉露財縫後他變得超帥的但也只贏我一點點 使用貼片改善暗沈的齒色有些牙齒因為小時候藥物使用而有色素沈積這類牙齒使用藥物美白依然無法達到很好的效果 可以使用美白貼片讓女孩展現自信完美的一面這個女孩變得很美歐舊假牙脫落,底下殘餘齒質缺損合併手術治療保留殘留牙齒並以數位美學輔助修復牙齒 本來牙齒掉下來只能當個口罩帥哥現在是太太怕他口罩拿下來太帥了 多次重複填補齒色不佳每次補完顏色不均所以選用貼片一次完成前牙美學修復 女孩是很優秀的學霸現在美貌與實力兼具小黃醫師只能仰望啊 上面四組美美的牙齒是小黃醫師挑選了常見幾種做前牙美觀重建的原因,包含漏財縫,齒色不佳,搶救殘留齒質,蛀牙修復仔細觀察修整後的牙齒小黃醫師修整會盡可能保守留下較多的齒質避免明顯痠痛與壞死發生 ~~~~~~ 小黃醫師認為美學治療是一種選擇 治療前與醫師充分討論 確認您最想改善的缺點 了解各種治療可能面對的風險 了解可以改善的程度 最後信任醫師完成治療 讓自己能好看的自信開懷大笑 絕對是很棒的一件事 為什麼需要充分溝通理解 因為怎麼樣的牙齒是美??? 美觀是很主觀的 有人喜歡林志玲 有人比較喜歡林依晨 如果你問小黃醫師比較喜歡哪一位 我會說 我老婆 小黃醫師心裡話 我一直覺得美容整形 不是一件不好的事情 能夠讓一個人變得更自信是好事啊 因為選擇治療本來就要付出代價 可能是金錢,可能是時間,可能是身體不適 但若一個成人很認真的為了美 而願意付出這些代價 小黃醫師都是非常尊重的 畢竟不是每個人都是金城武啊 #黃渝聖醫師 #一分鐘小常識 #不看字就看圖 #兒童牙科 #美容牙科 #口腔衛教 #植牙專科 #兒牙專科 #家庭牙科專科 #員林基督教醫院 #彰化基督教醫院 #兒童早期矯正 #MRC #肌功能訓練 #陶瓷貼片 #前牙美學 MRC一分鐘小常識不看字就看圖兒牙專科兒童早期矯正兒童牙科口腔衛教員林基督教醫院家庭牙科專科彰化基督教醫院植牙專科美容牙科肌功能訓練陶瓷貼片黃渝聖醫師 0 評論 0 FacebookTwitterTelegramLINEEmail 上一篇 寶貝發牙前-那些很重要很重要的事 下一篇 奶嘴-到底何時戒除 你可能也會喜歡 大海與漱口杯-漱口水與氟鹽的使... 六個重點-讓小孩不怕看牙 乳牙為什麼very重要 每次回診都是萬聖節-牙菌斑顯示... 鼻呼吸訓練法-鼻子的重要性 妳值得更好的笑容-美學陶瓷貼片... 讓治療可以被預測-數位美學分析... 人生的第三套牙-植牙 牙齒意外脫落!!! 怎麼辦??... 束縛治療-父母注意事項