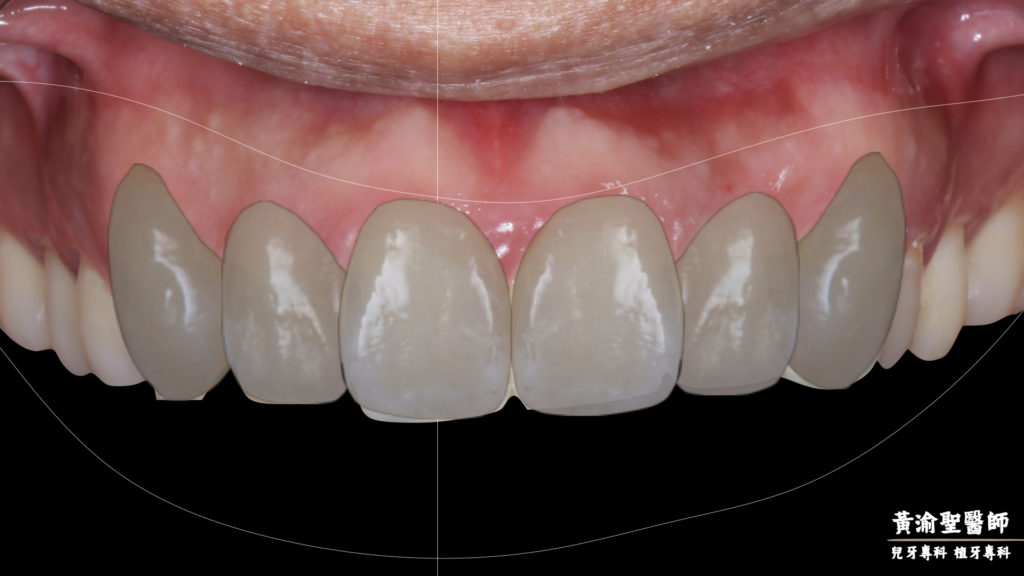
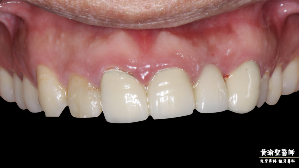
0 評論 0 FacebookTwitterTelegramLINEEmail 案例分享28 前牙美學- 每個人都值得擁有更美好的笑容 除了髮型有變化 笑容也有了很大的改變 今天要分享的案例 是個帥哥變更帥的故事 小黃醫師利用DSD Digital Smile Design 數位微笑美學分析 重新設計笑容 不只改善了假牙掉落的問題 也改善了假牙傾斜 與牙齦露出太多 露齦笑的問題 白色美學-假牙 粉紅美學-牙肉 兩者互相協調 才能真正改善前牙笑容 HS哥談吐很幽默 口罩下一定很帥 這是初次見面的第一印象 Hihi 您好 請問有什麼需要幫忙的呢 麻煩您先拿下口罩 HS哥拿下了口罩 嗯嗯 哥 麻煩您口罩先戴上 留給我美好的想像空間 等等啊小黃醫師 我假牙壞掉 掉下來了怎麼辦 我需要你幫忙啊 觀察了口內的狀況 假牙底下的牙齒有明顯蛀牙的痕跡 剩下齒質很少 除了假牙脫落壞掉外 仔細評估外觀 可以發現舊假牙歪斜 而且笑的時候露出許多牙齦 簡稱 露齦笑 這些都是可以改善的 到底要怎麼樣讓HS哥藉著這次機會 讓他變得更帥 讓老婆更愛他呢 小黃醫師先幫他進行數位美學分析 利用電腦疊圖技巧 不單純是小畫家 ps 這些模擬都是需要能合理重現的 挑選適合HS哥的牙齒版型 使用美學牙冠增長術 調整微笑比例 現在牙科美學不止重視白色的假牙 更重視牙齦-粉紅美學 數位模擬後 與HS哥取得共識後 小黃醫師便依照模擬計畫執行治療 手術改善牙齒比例太短 除美觀外,也可避免假牙脫落 小黃醫師不只改善牙齒比例 手術趁機把萎縮牙齦補回去 這樣做是為了讓牙橋看來更擬真 讓HS哥變成風度翩翩大帥哥 最後進行全瓷牙冠修復 從前HS哥戴上口罩 感覺比較帥 現在 我都建議他口罩要戴著 不然拿下來真的太帥了 老婆會擔心 開玩笑的啦 老婆也是正妹 都是小黃醫師的好朋友歐 每個人都值得擁有更美好的笑容 感謝您的觀賞 也歡迎把本篇文章分享給您身邊需要幫助的朋友歐 #黃渝聖醫師 #案例分享 #人工植牙 #牙冠增長術 #美學陶瓷貼片 #兒童牙科專科醫師 #植牙專科醫師 #家牙專科醫師 #美學牙科 #員林基督教醫院 #彰化基督教醫院 #全口重建 #數位美學分析 人工植牙兒童牙科專科醫師全口重建員林基督教醫院彰化基督教醫院數位美學分析案例分享植牙專科醫師牙冠增長術美學牙科美學陶瓷貼片黃渝聖醫師 0 評論 0 FacebookTwitterTelegramLINEEmail 上一篇 戴上小鋼牙-換牙怎麼辦 下一篇 牙齒意外脫落!!! 怎麼辦??? 你可能也會喜歡 妳值得更好的笑容-美學陶瓷貼片... 植牙前矯正治療 人生的第三套牙-植牙 牙齦萎縮-牙肉移植術(軟組織移... 美學陶瓷貼片 -隨時自信展露笑... 用心改變您的微笑-陶瓷貼片 成人全口重建 Turkey Teeth 土耳... 讓女孩綻放笑容的魔法-陶瓷貼... 陶瓷嵌體-保留齒質的好方法