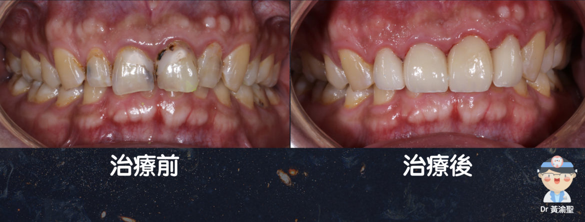
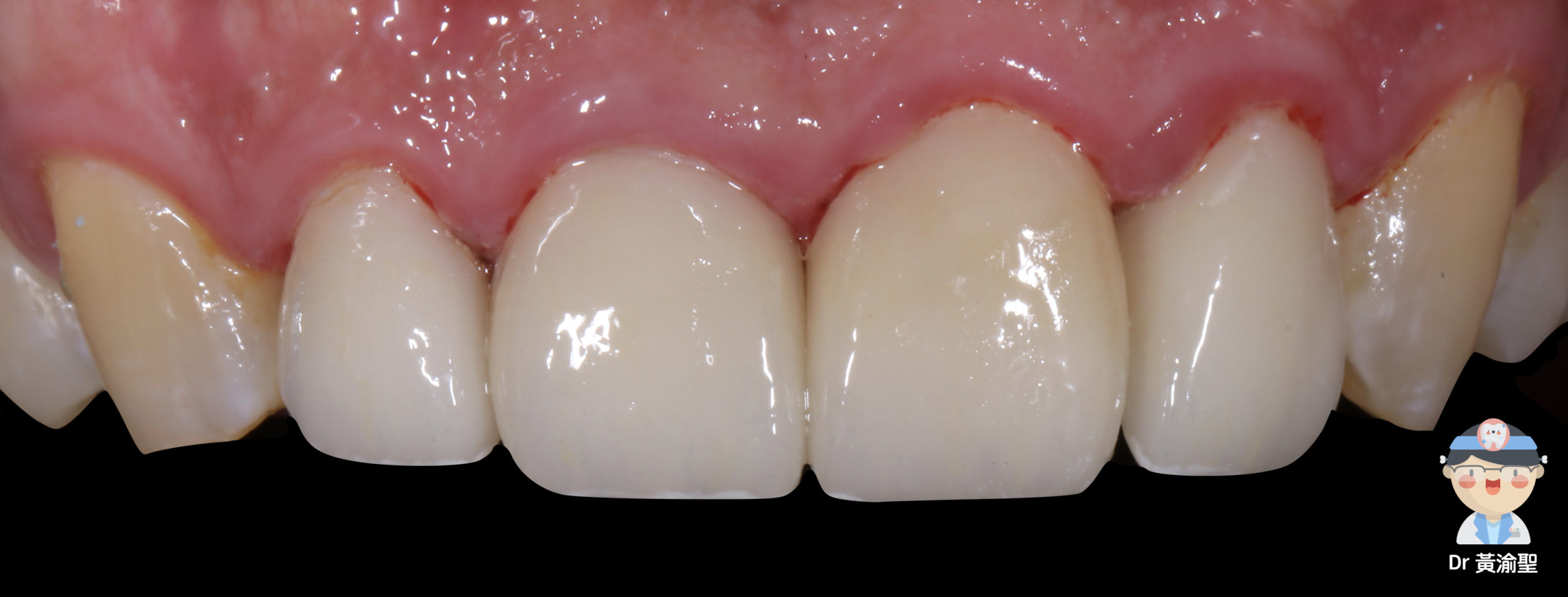
0 評論 0 FacebookTwitterTelegramLINEEmail Mr L 因前牙蛀牙來醫院看診 因多次填補與二次蛀牙 造成前牙美觀不佳 與Mr L討論後 決定以陶瓷貼片進行修復 Mr L的齒列仔細分析後 除了 1.二次蛀牙染色 還包含 2.齒列凹凸不齊 3.牙齒型態磨耗 4.牙齒軸向歪斜 本次治療有使用 DSD 數位微笑設計 並用暫時的材料在口內模擬治療成果 確認牙齒型態 高度 厚薄 以陶瓷貼片修復 可以保留相當多的齒質 而且經由仔細的比色 可以讓技師燒出美觀跟強度兼具的成品 如果要讓Mr L帥度超過我 需進行牙冠增長手術 改善左右牙齦高度不均情形 但Mr L也害怕太帥 且Mr L笑起來看不到牙齦 所以本次治療無手術介入 非常感謝創藝技師的協助 施財烈 #黃渝聖醫師 #案例分享 #陶瓷貼片 #美學修復 #員林基督教醫院 #數位美學分析 DSD假牙治療全口重建全瓷牙冠前牙微笑調整前牙美學調整員林基督教醫院困難牙科治療彰化基督教醫院成人牙科數位美學分析美學全口重建美學全瓷牙冠陶瓷貼片黃渝聖醫師 0 評論 0 FacebookTwitterTelegramLINEEmail 上一篇 恆牙大臼齒的走鐘人生-異位性萌發 下一篇 讓治療可以被預測-數位美學分析DSD 你可能也會喜歡 妳值得更好的笑容-美學陶瓷貼片... 牙冠增長術-一份愛的禮物 妳其實可以比現在的妳更美-美學... 美學陶瓷貼片 -隨時自信展露笑... 前牙美學修復 人生的第三套牙-植牙 Turkey Teeth 土耳... 植牙前矯正治療 讓你的笑容更自然-前牙微笑調整 牙齦萎縮-牙肉移植術(軟組織移...