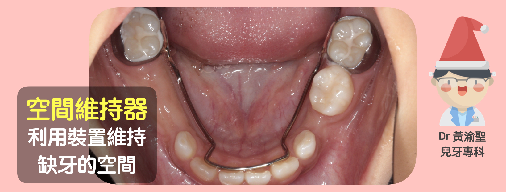
0 評論 0 FacebookTwitterTelegramLINEEmail 空間維持器 空間維持器到底是什麼? 有什麼功能呢? 花錢做維持器值得嗎? 這些門診常見的疑惑 希望能夠與您分享 當乳牙因為外傷或蛀牙太嚴重 無法治療被拔掉後 前後的牙齒不會乖乖待在原地 而會往缺牙處移動 舉個例子 當你車子壞掉後 把車賣掉 鄰居把車停斜的佔到您的車位 時間久了 您買了台車 想停車 惡鄰居也不把車位還您了 所以此時買個車位拒馬 把車位留下來 是個安全的作法 口中也是相同的狀況 空間維持器就像車位拒馬 把恆牙空間留下來 減少未來多花很多費用矯正的機率 戴維持器 仍然要定期回診 給您信賴的醫師檢查歐 缺牙時 是否都需要維持器 需經專業醫師評估 每個孩子狀況不一樣 請與您信賴的醫師討論囉 聖誕夜裡 一樣與您分享一點牙科小知識 🥳🥳🥳🥳 聖殿節快樂 吃薑餅屋的同時 記得要刷牙 不然我們很快又要見面了 😅😅😅 #黃渝聖醫師 #一分鐘小常識 #不看字就看圖 #兒童牙科 #乳牙衛教 #空間維持器 乳牙兒童牙科兒童牙科衛教早期矯正矯正空間維持器維持器黃渝聖醫師 0 評論 0 FacebookTwitterTelegramLINEEmail 上一篇 牙齒黑黑-乳牙染色 下一篇 電動牙刷-買不買 你可能也會喜歡 牙弓變形的兇手-奶瓶奶嘴手指 寶貝乖乖躺下吧~ 讓孩子不緊張... 木糖醇有效?沒有效? 牙齒黑黑-乳牙染色 矯正會不會「超級痛」? 恆牙大臼齒的走鐘人生-異位性萌... 大海與漱口杯-漱口水與氟鹽的使... 奶嘴-到底何時戒除 兒童氟化物一次報你知 恆牙好黃怎麼辦